Home
Home
Scottsdale, AZ
480 996 1757
Consultation
Photo Gallery
Call
Book Consult
Gallery
Menu
Home
Meet the Surgeon
Body
Abdominal Etching
Arm Lift
Butt Lift
Body Lift
Liposuction
Mommy Makeover
Thigh Lift
Tummy Tuck
Breast
Ballerina Breast Augmentation
Breast Augmentation
Breast Implants + Lift
Breast Reduction
Breast Lift
Breast Implant Removal
Breast Implant Revision
Preservation Breast Augmentation
Face
Brow Lift
Chin Implant
Deep Plane Facelift
Eyelid Surgery
Facelift
Fat Grafting
Lip Lift
Neck Lift
Otoplasty
Skin Cancer Reconstruction
Male
Abdominal Etching
Gynecomastia (Male Breast Reduction)
Non Surgical
BOTOX
Dermal Fillers
Lip Fillers
Gallery
Body Procedures
Next
Breast Procedures
Next
Face Procedures
Next
Back
Arm Lift
Liposuction
Mommy Makeover
Thigh Lift
Tummy Tuck
Back
Breast Asymmetry Correction
Breast Augmentation
Breast Lift
Breast Reconstruction
Breast Reduction
Male Breast Reduction
Back
Ear Surgery
Eyelid Surgery
Face & Neck Lift
Neck & Chin Liposuction
Rhinoplasty
Resources
Patient Resources
Out of Town Patients
Financing
Plastic Surgery Videos
Blogs
Patient Reviews
Consultation
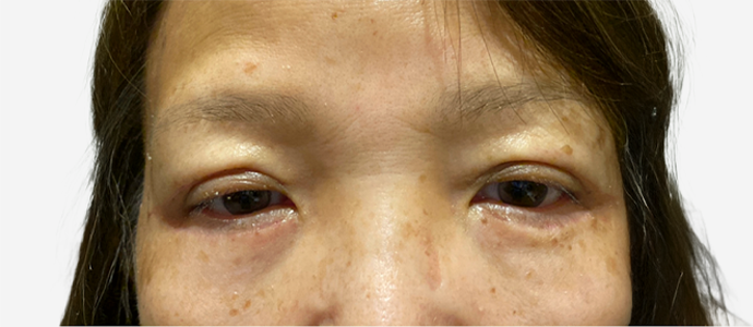
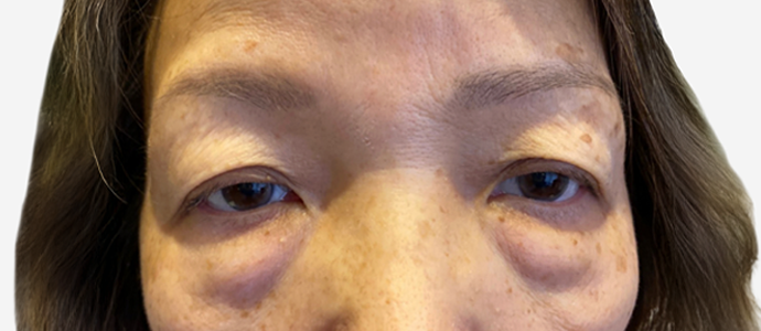
Eyelid Surgery
Before & After Photos
Back to Gallery
Go to Procedure
View case
View case
View case
View case
View case
View case
View case
View case
View Results
Consultation
Please ensure Javascript is enabled for purposes of
website accessibility